1864 Reisterstown Rd #C,
Pikesville, MD 21208
Pikesville Cosmetic Dentist

Smile Gallery

Pikesville Family Dentistry | Dental Bridges, Pediatric Dentistry and Root Canals

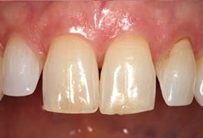
Before

Pikesville Family Dentistry | Pediatric Dentistry, Dental Fillings and Emergency Treatment

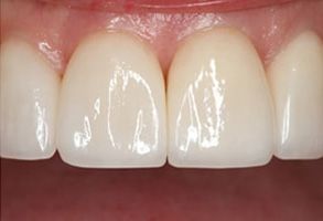
After

Pikesville Family Dentistry | Root Canals, Dentures and Dental Bridges

Before

Pikesville Family Dentistry | Dental Fillings, Dental Cleanings and Emergency Treatment

After

Pikesville Family Dentistry | Dentures, Dental Fillings and Pediatric Dentistry

Before

Pikesville Family Dentistry | Extractions, Dental Cleanings and Dental Bridges

After

Pikesville Family Dentistry | Dentures, Root Canals and Dental Fillings

Before

Pikesville Family Dentistry | Dental Cleanings, Dentures and Root Canals

After

Pikesville Family Dentistry | Root Canals, Dental Cleanings and Oral Cancer Screening

Before

Pikesville Family Dentistry | Dental Fillings, Dental Bridges and Oral Exams

After

Pikesville Family Dentistry | Pediatric Dentistry, Crowns  amp  Caps and Oral Cancer Screening

Before

Pikesville Family Dentistry | Dental Bridges, Emergency Treatment and Oral Cancer Screening

After

Pikesville Family Dentistry | Dental Cleanings, Oral Exams and Oral Cancer Screening

Before

Pikesville Family Dentistry | Emergency Treatment, Extractions and Root Canals

After

Book Your Appointment Online!

Book Now